Scientists just mapped the brain architecture that underlies human intelligence
NASA selects two Earth science missions for development
...people with gender incongruence | Science Media...
Quantum Computing Offers Faster, More Accurate Molecular Blueprint Predictions for Better Drugs
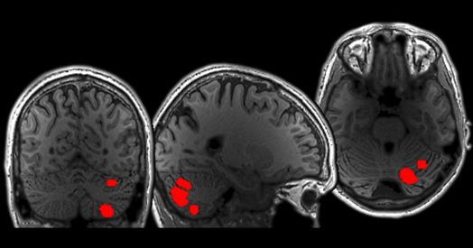
This AI Diagnoses Brain Disorders in Seconds
Every major galaxy is speeding away from the Milky Way, except one — and we finally know why
Chimps use pretend objects, suggesting they have imagination and can engage in pretense
Scientists May Have Miscalculated the End of Existence
Psychedelics may rewire the brain to treat PTSD. Scientists are finally beginning to understand how.
Satellites Capture Towering 35-Meter Ocean Waves, Exposing the Pacific at Its Most Violent
Does Exercise Actually Burn Calories?
Graduate Students’ NSF Fellowship Applications Are Being “Returned Without Review”
Boreal Forests Are Shifting North
NASA space telescope sees interstellar visitor comet 3I/ATLAS flare up while exiting the solar...
The Relativistic Heavy Ion Collider’s end marks a new beginning for U.S. particle physics
Pesticide Toxicity is Rising — And It’s Putting the UN’s 2030 Biodiversity Goal at Risk
Cerebellum responds to language like cortical areas
Revealing Deformation Mechanisms Of The Mineral Antigorite In Subduction Zones
How a Comox Valley fossil discovery forever changed paleontology in B.C.
Vanderbilt Health to lead expanded multisite study of immunomodulation in long COVID